見えにくい
裏側矯正
咬み合わせ重視の
治療
デジタル
矯正
1.安全性を重視
2.治療スピードの向上
3.周りに気付かれにくい
吉祥寺駅徒歩1分の「吉祥寺矯正歯科クリニック」では、
裏側矯正(リンガル矯正)とマウスピース矯正(アライナー矯正)を主軸に
専門のチームにて「見えにくい」矯正治療を行っています
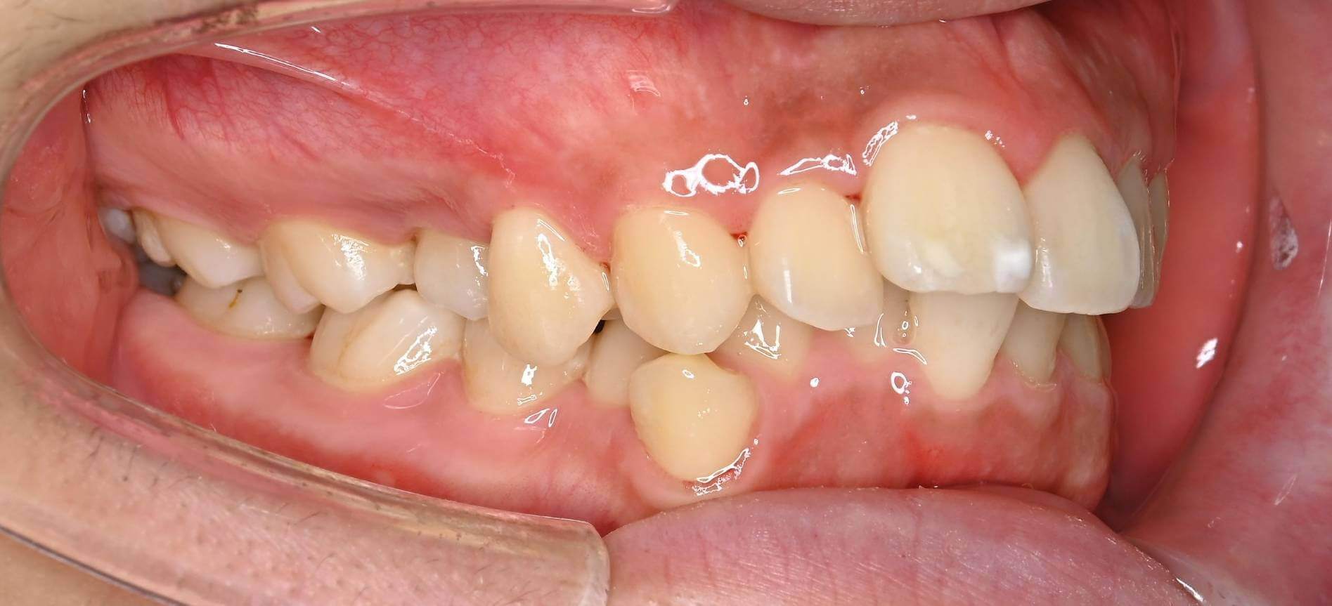
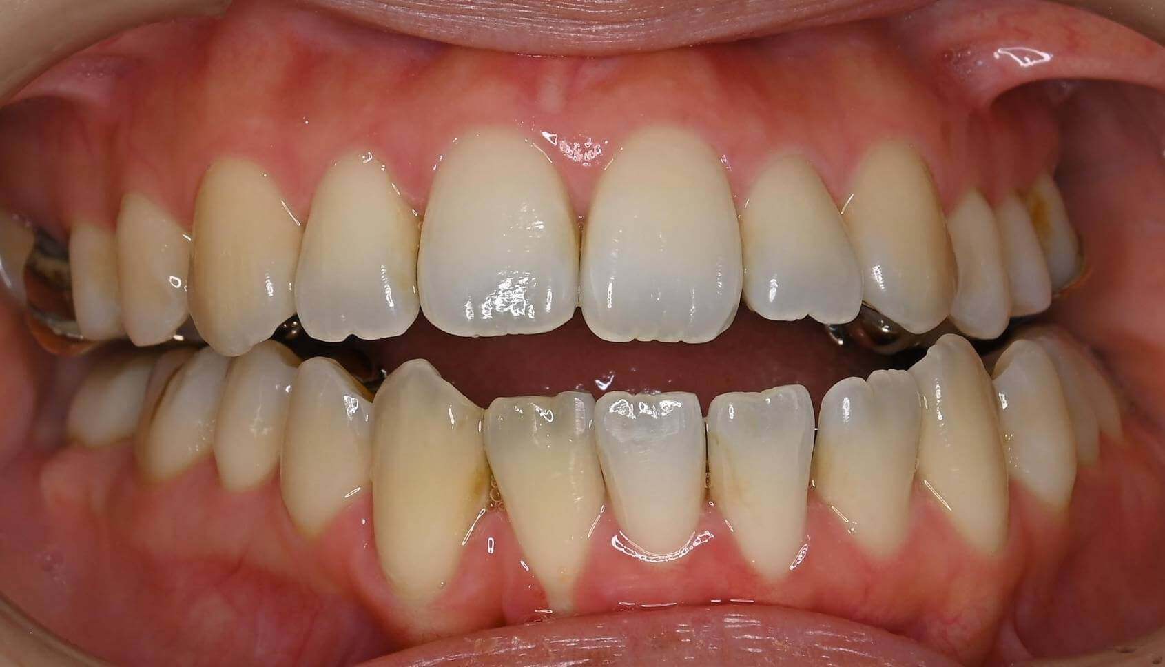
美しい歯並びの獲得だけでなく 咬む機能を改善する治療を行うため、全症例の模型を咬合器に付着します。
的確な咬合調整
様々な矯正メニュー
毎回のクリーニング
治療後のアフターケア

吉祥寺矯正歯科クリニックの治療とは?
- 見えにくい矯正治療
- 咬み合わせに重視した矯正歯科治療
- 患者様のライフスタイルに合わせた治療メニュー
- 矯正だけではなく他分野のドクターも在中
- 「結婚式」「成人式」「就活」等 イベント前の矯正治療
吉祥寺矯正歯科クリニックが
選ばれる8つの理由
審美だけではないかみ合わせも
重視した矯正治療

矯正治療の患者様の一番の目的は見た目の改善かもしれません。
ガチャガチャな歯並びが並ぶだけで満足してしまうことも多いです。
しかし、本来、矯正歯科治療とは審美だけでなく機能を改善しなければなりません。つまりそれはかみ合わせです。上と下の歯のかみ合わせは1歯対2歯でなければなりません。
当院では、検査時に関節の位置を把握するためにすべての症例を咬合器に付着しています。CO(中心咬合位:かみ込んでいる位置)とCR(中心位:関節が合っている位置)を分析することで、顎関節に負担がかからないかみ合わせをつくります。
また、出っ歯である前歯をただ内側に引っぱるだけでは、歯が内側に倒れ込む状態(ラビッティング)になり、歯の根元が骨から飛び出してしまうこともあります。
そのような状態にならないよう、適切な方法で歯を動かします。
目立たない
見えにくい矯正治療

矯正装置をつけるのは恥ずかしい、目立たない矯正装置はないの?など多くの声を頂きます。
目立たない矯正、見えにくい矯正、審美矯正をご希望の方は、是非当院にご相談ください。舌側矯正(裏側矯正)、マウスピース矯正の専門の医院として様々な症例に対応させていただきます。
難症例など多様な症例に
対応できる技術

様々な難症例を大学病院、六本木、表参道と経験し治療をしてきた矯正を専門に行う歯科医師として幅広く対応しております。
セカンドオピニオン外来にて相談も随時、受け付けております。
矯正相談も開催中!一般的な症例から難症例を含め、大切なことは診査・診断です。
痛みに配慮した楽しい
こども矯正(小児矯正)

矯正治療の痛みが怖い、嫌だという声を多く聞きます。当院では弱い力で持続的な効果をもたらす、痛みに配慮した矯正治療を行っております。
また、お子様が怖がらないよう、女性ドクターや衛生士、またクマさんのような優しい先生など幅広いスタッフで様々なアプローチをして治療できるようにしております。歯を抜かずに、将来のため顎や舌の環境、機能を整えるこども矯正(小児矯正)を行っております。
長期的な虫歯、
歯周病の管理・治療

矯正治療中は虫歯になりやすく、歯周病が進行するなど聞いたことはありませんか?
見た目だけではなく、咬む機能や清掃性の獲得のために矯正治療をしたにもかかわらず、矯正治療中に虫歯ができたり歯周病になってしまったりと本末転倒な状態の患者様を多くみてきました。
当院では必ず月1回の治療の時にPMTC(専門の口腔清掃)、TBI(歯磨き指導)をさせていただきます。また、初診時に虫歯のチェック、歯茎の検査を行います。
清潔で充実した設備

歯科用CT、口腔内スキャナーはもちろんのこと、徹底した感染対策として、ヨーロッパ基準のBクラス滅菌機、国際規格の熱水消毒器ミーレジェットウォッシャーなど設備を整えております。
治療完了までの管理システム

マウスピース矯正などにおいて、歯科医師が慣れていなかったり、取り外しが患者様まかせとなることで治療が計画通り進まなかったりと、矯正治療のトラブルになる例が急増しております。
矯正治療は、診査・診断のもと歯科医師が責任をもって計画的に治療を進めていくことがとても重要です。当院は衛生士のみで治療を完結することなく、専門の歯科医師また院長が必ずチェックし、加療を進めていきます。
吉祥寺駅から徒歩1分

月に1回通院いただく矯正治療です。技術や設備はもちろんですが通いやすさも大切です。
当院は三鷹市、武蔵野市、井の頭線沿線の近隣の患者様はもちろんのこと、一般歯科医院の先生からのご紹介も多く、横浜、渋谷、立川、埼玉県、山梨県と遠方から受診される患者様も多くいらっしゃいます。
外科矯正(サージェリーファースト)について
重度の出っ歯や受け口に外科手術、矯正治療の順番で治療を行います。
外科矯正 (サージェリーファースト)は顎変形症が原因の歯並びと顔立ちを根本的に治療する方法です。
以前から外科手術の前後に歯列矯正を行う方法がありましたが、「サージェリーファースト」はその名の通り、
外科手術を先に行いその後に歯列矯正を行う、という手順がはっきりしています。
ただし外科手術を伴うため難易度は極めて高く、矯正歯科であっても大学病院等の口腔外科との連携がなければ扱えない矯正方法です。
吉祥寺矯正歯科クリニックでは「歯並び」、「咬み合わせ」、「口元の見た目」を重視した矯正治療を行うことを目的としており、
必要な場合は外科矯正治療にも対応する態勢をとっています。外科矯正の場合には外科手術を提携医療機関で行い、
歯科矯正部分を当院で担当しますが、検査・治療計画においては当院が指揮をとり、提携医療期間と連携して治療を行ってまいります。
詳しくはこちら
口ゴボ
口ゴボとは、前歯の突出が原因で口元が盛り上がり、突出感のある状態を指します。
歯が突出しているために、鼻の下が長く見えたり、顎の下に梅干しのようなシワができてしまったりします。
お顔を横から見ると、鼻先と上唇の口元が同じ位の位置になる場合もあります。
口ゴボの方は、ご自身の横顔にコンプレックスを感じてしまうだけでなく、
口が閉じにくいなどと機能の面での問題が生じてしまいます。
むし歯や歯周病のリスクが高まり、前歯に着色がつきやすくなることもあります。
詳しくはこちら
歯並びのお悩みから探す矯正治療
吉祥寺矯正歯科クリニックでは、様々な歯並びのお悩みに対して、マウスピース矯正インビザラインや裏側矯正など、より質の高い歯列矯正治療でお悩みの解決をしてきました。
ここでは歯並びのお悩みに応じて治療内容を探しやすくまとめてみました。
02 診療案内 Service
perfect kyousei
painless・polite

歯医者は痛くて怖いなどのイメージをもたれる方も多いと思います。吉祥寺矯正歯科クリニックでは、リラックスできる空間で、痛みに配慮した矯正治療を心がけております。
electronics

医療において大切なことは、技術の研鑽とともに、常に新しい医療設備の導入に努めることです。歯科用CT、口腔内スキャナーだけでなく、徹底した感染対策として、ヨーロッパ最高基準のBクラス滅菌機、国際規格の熱水消毒器ミーレジェットウォッシャーなどの設備を整えております。
relationship

患者様またそのご家族、一人一人との関係を大切にしております。当院の歯科医師・スタッフは、全員が矯正治療を経験しており、患者様のお悩みに寄り添った診療を行っております。どんな小さなご相談でも気軽にお伝えください。また、公式LINEにおいて随時ご連絡を受け付けております。治療中のご相談・診療時間の予約変更など、患者様のご都合のいい時間帯にお知らせください。予約の取りやすい矯正歯科医院を目指しております。
future

矯正治療では動的治療終了後の後戻りなど、保定期間中にトラブルが起こることも少なくありません。吉祥寺矯正歯科クリニックでは、矯正治療やインプラント治療後のメインテナンスにも力を入れております。ホワイトニングや審美歯科治療も可能です。トラブルのない矯正治療に努めております。
expertise

矯正歯科治療やインプラント治療は、高度な技術と高い専門性の求められる治療です。当院は矯正歯科を専門に行う歯科医師が常勤している医院です。 当院に勤務する歯科医師は、院長をはじめ、全員が大学での専門教育や研修を修了した後に、都内有数のクリニックに勤務し、何年も研鑽を積んでおります。治療に不安がある方は、是非一度、矯正相談にお越しください。
child

吉祥寺矯正歯科クリニックには、多くのお子様が通院しており、スタッフ全員が、親しみやすく話しやすい環境をつくれるよう努力しております。女性として、更に母親としての視点や対応などを大切にし、お子様と子育て中のお母様が安心して治療を受けられるようにしております。虫歯予防のためフッ素塗布も行っております。子どもや妊娠中の患者様が安心して通える矯正歯科クリニックです。
technology

医療では結果が大切です。吉祥寺矯正歯科クリニックでは、ただ歯をきれいに並べるだけではなく、上下の噛み合わせに考慮した矯正治療を行っております。裏側矯正専門のクリニックです。精密検査時に、全症例の模型を咬合器に付着することで顎関節の位置を把握し、適切な診断を行います。日進月歩の医療の発展に遅れることなく、国内はもちろん海外の学会にも積極的に参加し発表を行い、たゆまぬ研鑽を生涯続けていきます。
kindness

医療とはいえ、いきつくところは人と人の関係です。全ての患者様へ感謝の気持ちを忘れずに、お互いの信頼関係の中で治療を進める事ができるよう、ラポールを形成しております。安心して通える矯正歯科クリニックです。ご不安なこと、質問などありましたらお気軽にお声がけ下さい。
youthful

吉祥寺矯正歯科クリニックでは、エイジングケアにも力をいれております。矯正治療で歯並びを整えることは、ご自身の歯を失うことなく、生涯、咀嚼をしていくことにつながります。口元の印象を整えることで若々しい雰囲気をつくり、ご自身の歯でお食事を楽しみ、健康に過ごすことができるよう、40代の患者様はもちろんのこと、50代60代の患者様の矯正治療も専門に行っております。また、インプラント治療もどの世代でも可能です。
omotenashi

東京オリンピック開催にて世界中で共通の言葉となった「お・も・て・な・し」。吉祥寺矯正歯科クリニックでは、最高のホスピタリティで患者様をお迎えできるよう対応しております。治療をおえた患者様が笑顔で気持ちよくお帰りできるよう、あたたかな雰囲気づくりを心がけております。
upper class

矯正治療は自費治療でもあることから、世界的にも上流階級での治療のイメージがあると思います。吉祥寺矯正歯科クリニックでは、基本矯正料のお支払いにおいて、分割払いを可能にしており、多くの人が矯正治療を受けられるようにシステムを構築しております。
special

特別な治療を特別な空間で。貸し切りでの矯正治療やインプラント治療を提供しております。事務所関係者の方やマネージャー様、専門のお問い合わせのフォームがございますので、ご予約やご質問などにご利用ください。
effort

現在の医療技術に満足せず、常に患者様の声に耳を傾けながら日々の診療にあたっております。歯科治療の技術の研鑽、努力を怠らず日々精進いたします。
invisible

吉祥寺矯正歯科クリニックは、見えにくい矯正装置を専門に行う医院として、吉祥寺、井の頭、武蔵野市、三鷹市、杉並区、練馬区、中野区、国分寺市、国立市、立川市、八王子市など、多くの地域から裏側矯正(リンガル矯正、舌側矯正)の治療に通院していただいております。 裏側矯正専門といえば吉祥寺矯正歯科クリニック。都内各地、全国からのご来院をお待ちしております。
専用サイト
06 求人情報 Recruit




07 新着情報 News
一覧を見る
-
2026.05.11
インプラント インプラントの費用はいくら?相場・内訳・安くする方法まで徹底解説 -
2026.05.11
矯正コラム 矯正中のお子さまの歯ぎしりについて -
2026.04.06
矯正コラム 口ゴボの治療について|抜歯の必要性・人中問題・最適な装置の選び方 -
2026.03.18
矯正コラム 口ゴボ矯正、ガミースマイルでよく聞かれる質問 -
2026.03.02
矯正コラム マウスピース矯正に向く人と不向きな人について
お問い合わせ Contact
メールフォーム
〒180-0003 東京都武蔵野市吉祥寺南町1丁目1-9 FSビル 5F
10:00 〜 17:00
火・木・金・土・日※
休診日
月・水
- ※木曜日・日曜日は月1回・不定期です。














